中高年に脳梗塞が多いが、脳梗塞の原因は?回復するのでしょうか?
中高年に脳梗塞が多いが、脳梗塞の原因は?回復するのでしょうか?
中高年に脳梗塞が多い、この一文は決して大げさではなく、最近では若い人の脳梗塞もかなり多く、年を重ねるにつれて、この脳梗塞の発症率は本当に高くなっている。
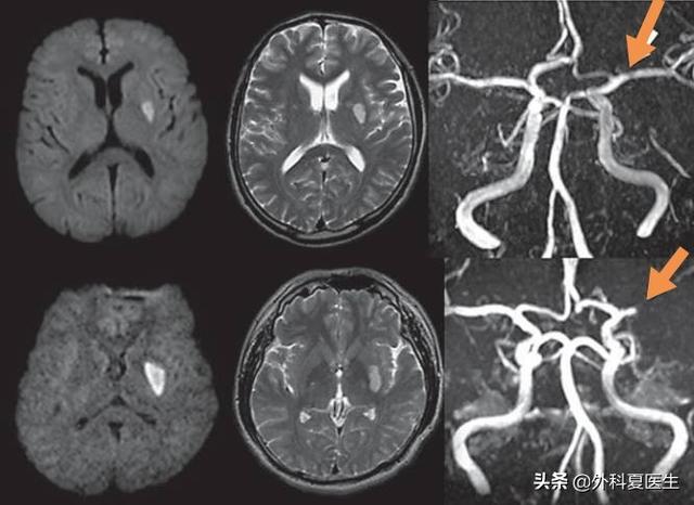
しかし、脳梗塞の中高年は、突然口や目が斜めになったり、めまいがしたり、目の前が真っ暗になったり、舌が硬くなったり、あるいは手足のしびれや閉塞感など、手足の半分が出現するようなことが起こると、そのような人ばかりではない。多くの中高年は、自分が脳梗塞であることを知らないが、ある健康診断や医師の診察で、頭部CTやMRI検査を受けたところ、このような脳梗塞を海綿状脳梗塞といい、私たちの医療画像の診断に属する。
では、質問者が挙げた中高年の多くが罹患する脳梗塞(ラクナ脳梗塞)については、実際に何が原因なのか?それは回復するのか?
事実、重症脳梗塞もラクナ脳梗塞も、動脈硬化と関係している。
しかし、海綿状脳梗塞は、私たちが通常口にする脳梗塞とは、主に次の2つの点でやはりやや異なる:
まず、詰まる脳血管が比較的小さく、梗塞領域も比較的小さい。梗塞は通常100ミクロンの血管に発生し、梗塞面積、すなわち病変の大きさは通常1cm以下である。
第二に、ラクナ脳梗塞の部位はより明確であるのに対し、脳梗塞の一般的な部位は不確定である。海綿状梗塞は、主に脳内の穿通動脈(中動脈、後動脈、脳底動脈など)に発生します。したがって、海綿状梗塞の発生部位は、通常、脳の大脳基底核領域、視床、脳橋などである。
このため、空洞性梗塞の患者の約70%は、ほとんど無症状であるため、時折発見されるのである。
では、ラクナ脳梗塞の原因は何か?
それは主に以下の3点に関係している:
一つは小動脈硬化である;
次に、微小塞栓が現れる。脳塞栓は、脳内の細い血管に塞栓物質が偶然に入り込み、血管を塞いでしまうことである;
3つ目はアテローム性動脈硬化症である。大動脈の閉塞は、たまたま脳を貫通する動脈を塞いでいるため、海綿体梗塞を引き起こすこともある。
また、ラクナ脳梗塞は回復するのでしょうか?
もちろん、脳梗塞に比べれば、海綿状脳梗塞の予後は非常によく、中年や老年の若い人の多くは無症状で、薬で治療する必要がなく、中年や老人のこれらの症候性海綿状脳梗塞のごく一部でも、いくつかの血管障害性薬物を使用することによって、2、2週間は非常によく治すことができる。脳の重要な部位に発生したラクナ脳梗塞が元に戻らず、何らかの障害を残すのはごくわずかである。
但加齢後の動脈硬化の主な原因の中年と高齢者の空洞梗塞のほとんどは、この点を逆転させることができない、通常の生理的変化に属する必然的にいくつかの病理学的変化の後に発生し、唯一のプロセスで発生した病変の発生を遅くすることができます。従って、たとえ症状がなくても軽視すべきではなく、特に高血圧や動脈硬化のある患者は、空洞梗塞を患う最も一般的なグループであるため、最優先されるべきである。
私は河南省塘河県で、片麻痺リハビリ・運動グループを組織している。
脳血管障害の後遺症を持つ片麻痺患者さんたちと一緒にリハビリ体操をしました。脳梗塞の原因についてまとめましたので、参考と警告のためにお伝えします!
1:高血圧、高血糖、高血脂肪は脳血管疾患の主な原因である。ほとんどの患者は、発症前に3つの高血圧をコントロールするよう医師の指示に従わなかったため、脳梗塞や脳出血を引き起こした。
2:先天性脳血管奇形や狭窄症で、めまいや脳の腫れ、口や目の曲がり、歩行が不安定などの症状があり、適時の治療がないために病友につながった患者もいる。
3:30代から50代の患者さんの多くは、一家の大黒柱であり、家庭内でも短気で、自分が動かないと怒ったり暴れたりして、心の平穏が保てず、仕事や生活のさまざまな場面でのプレッシャーと相まって、脳血管病変を引き起こす。
4:脳血管障害の後遺症の多くは、発症前に喫煙や深夜の飲酒があり、適度な運動に積極的に参加しない悪い習慣がある。
5:良い食習慣がなく、豚の脂身、揚げ物、高塩分、高糖分を好んで食べる。これらの高脂肪摂取は肥満、血中脂肪の増加などを引き起こし、脳血管病変を引き起こす。
今や脳血管疾患は高齢者だけのものではなく、30代から50代の多くの人たちと一緒に汗を流しています。そのため、この年代の私たちは、脳血管疾患の発症を予防するために、より注意を払う必要がある。
1:食事は軽めに、新鮮な野菜や果物を多く摂り、水を多く飲み、アルコールや喫煙を避け、油を控え、塩分を控え、動物の内臓や豚の脂身は食べない。鶏肉、鴨肉、魚、肉類はほどほどに。高脂肪、高糖分の食品は食べない。
2:早寝早起きの習慣を身につけ、適度なスポーツを積極的に行う。
3:冷静で良い精神状態を保ち、キレずに動じない。物事がうまくいかないときも冷静に。
4:先天性脳血管奇形または狭窄症の定期検査を受け、医師の投薬指示に従うこと。
5:医師の指示に従い、三高をコントロールすること。
6:原因不明の突然のめまい、耳鳴り、難聴、嗅覚過敏の欠如、口や目が曲がってよだれを垂らす、目を閉じる、手足の片側のしびれや脱力感、特に手足のしびれ、片側に傾いて歩く、眠気、疲労感などの脳血管障害の前兆がある場合は、適時に医師の診察を受ける。
以上のことを実行することで、脳血管疾患の発症を効果的に予防することができる。
脳梗塞の後遺症の後、科学的で合理的なリハビリ運動を率先して行いさえすれば、回復することができます。私たちはリハビリ運動の過程で、成熟した効果的な運動方法を蓄積してきました。フォローすれば、さまざまな症状や年齢に応じた運動プログラムをもっと入手できます。コメント、リツイート、いいね!もお気軽にどうぞ。私たちは、ワークアウトに励みながら、私たちの精神と技術を必要としている人たちと分かち合えるよう、粘り強く努力していきます!片麻痺患者さんの回復への道のりは、ダウンリバーリハビリテーション&エクササイズグループが常にサポートしますので、患者さん全員の一日も早い回復を願っています!



脳梗塞病変の形成から、脳梗塞は不治の病ではないが、治療には時間的猶予(一般に4.5時間)があり、治療の目的は虚血した横隔膜を救うことであって、壊死した脳組織を救うことではない(脳細胞の壊死は現時点では元に戻せない、ちょうど死んだ人が復活できないのと同じである)、したがって脳梗塞後は、時間的猶予の中で可能な限り早期の血管再開通を達成し、虚血した横隔膜を救う努力が必要であることがわかっている。脳は壊死した脳組織ではない。
生体内には多くの側副血行路が存在するため(個人差があり、側副血行路が豊富な人もいれば、少ない人もいる)、発症から短期間で血行再建が達成されれば
脳梗塞は罹患率、死亡率ともに圧倒的に高い脳血管疾患である。
簡単に言えば、脳に栄養と血液を送る血管が詰まり、脳に十分な酸素が供給されなくなり、壊れやすい脳組織の一部が壊死し始め、脳梗塞を引き起こすのである。
特に40歳を過ぎると血管の硬化がひどくなり、脳梗塞になりやすくなる。

脳梗塞はほとんど "食べる "アウトであり、その後、3種類の食品、警戒血管の閉塞を食べる。
食べ物1:揚げ物
高温で揚げられ、一口でパクッと食べられる。
しかし、油脂を多く含むこの美味しい食品を、通常の体内必要量を超えて長期間摂取すると、血管内に大量に残留する可能性がある。
その結果、血液中の脂質が濃くなり、血栓が増え、心血管疾患が引き起こされる。

食品2:塩分の多い食品
健康とウェルネスという概念が普及するにつれ、塩分の過剰摂取が高血圧の引き金になることをほとんどの人が認識している。
しかし、「隠れた」塩分の中には見落としやすいものもある。例えば、加工肉、消費された油、マリネ、インスタントラーメンなどだ。これらの食品は、風味を高め、保存期間を延ばすために、大量の塩を使って調理されている。
また、これらの食品を長期間摂取すると、ナトリウムイオンが血液中に残留し、血圧上昇の引き金となり、血管環境に影響を与え、脳梗塞を誘発する。
食品を選ぶ際には、成分表のナトリウムをチェックし、塩分摂取量を減らすことをお勧めする。

食べ物3:ケーキ
ケーキは幸福感を与えてくれるし、時々食べても体に害はない。
しかし、摂り過ぎると、ケーキに含まれる大量の砂糖がコレステロールを乱し、血管収縮を招き、血管圧を上昇させ、血管を閉塞させ、ひいては脳梗塞などの心血管疾患や脳血管疾患を引き起こす。

早朝に目が覚めると脳が攻撃される3つの症状、被弾していないことを祈る
症状1:頭痛
頭痛は、脳の組織の一部が壊死し、そこを通る血流が阻害されることによって引き起こされることがある。
特に早朝は水分の喪失が深刻で、血液は比較的粘性が高く、もし激しく起き上がったり、刺激を受けたりすると、血圧が急激に上昇し、脳が突然酸素不足に陥り、脳梗塞や脳卒中が発生する。

症状2:舌の硬さ
早朝に目が覚め、舌が硬く、言葉が不明瞭であることに気づいたら、医師の診察を受けてください。
この時期に脳への血液供給が不足すると、脳による顔面神経のコントロールに影響を及ぼし、舌が硬くなる症状を引き起こす。
一方的な流涎を伴う場合は、すでに非常に深刻な状態であるため、注意が必要である。

症状3:目の前が暗くなる
血栓が脳幹、小脳、大脳皮質に存在すると、網膜神経への血液供給が不十分となり、視覚障害を引き起こすことがある。
通常は数分後に戻るが、脳梗塞の前兆なので、病院に行って検査してもらうのが一番だ。

脳梗塞にならないように、日頃の予防を怠らず、4つのことを守って、脳血管の健康を守りましょう。
ピース1:抗酸化物質をもっと食べる
身体にとって不可欠な要素である抗酸化物質は、食べ物から摂取する必要がある。
イギリスの分子生物学者であるハーマンは、酸化ストレスが寿命を決定すると述べている。
したがって、抗酸化物質は血管の健康にとって不可欠な栄養素であり、血管を維持し、心血管系疾患を予防する能力がある。
抗酸化物質が体内に入ると、フリーラジカルによる血管の "老化現象 "に抵抗し、血管を "若々しく "することができるという研究結果がある。
効果的に血管内プラークの形成を阻害し、血管の生理機能を維持し、トリグリセリド、コレステロール、血管上のフリーラジカルを低減し、脳梗塞や他の脳血管の発生率を低減し、損傷である。
元服菊や秋麻の実などの天然植物を主原料とし元菊は薬用菊で、抗酸化物質含有量は最大約67%。定期的に飲むことで血管を維持し、脳梗塞の発生を抑えることができる。

その2:禁煙とアルコール制限
タバコに含まれる数千種類の有害物質は、一度血管に入ると、血液中の酸素含有量、血液粘度の急激な減少を引き起こし、身体の血液凝固メカニズムに影響を与え、血管の健康を損なう。
一方、アルコールは少量の摂取で血管を拡張させる。アルコール乱用が長期化すると、血圧上昇を促進し、心拍出量を悪化させ、他の血管収縮物質の放出を増加させ、脳梗塞を引き起こす可能性がある。
健康のためには、禁煙とアルコールの制限がベストだ。

第3位:運動はオプションではない
運動は、体の免疫力を高める最も安価で効果的な方法です。
1日30分以上コンスタントに運動することで、心血管疾患の発症率を約30%減らすことができる。
効果的な運動は血液循環を促進し、有害物質の代謝を促進し、心肺機能を向上させる。
運動の習慣がない人は、ジョギングや早歩きなど、簡単な運動から始めるのがよい。週間後、徐々に運動量を増やしていく。
ピース4:1-2-0識別方法

1」:左右非対称で口の曲がった顔1つを参照;
2」:両腕の片側の脱力としびれをチェックする;
0': 発話を聞いて(ゼロ)、それが明瞭かどうかを判断する。
脳梗塞は中高年だけでなく若年層にも多く、その増加率は高齢者よりもはるかに高い。

脳梗塞の形成は、より複雑な要因であり、多くの人々は、人々に最も深く根ざしている1つまたは2つに、悪い食事であると言うことができますが、実際には、脳梗塞患者のための食事は、食事の悪影響が、しかし、決して我々が考えるほど大きく、三高に加えて、三高自体が病気の一種であり、さまざまな要因のために誘発することができ、要因の形成と脳梗塞はより似ているので、我々は常に三高患者であろうしたがって、私たちは常に三高患者を心血管と脳血管疾患のハイリスクグループと呼んでいる。
昔は、脳梗塞患者は高齢のため、生活と食習慣が規則正しく、人々のギャップは大きくない、主に血管の硬化の程度が脳梗塞の出現のタイミングを決定する年齢のため、そして現在、若い世代の脳梗塞の理由は、主に電子製品の普及のため、人々は娯楽の後、頸椎の保護を緩めるので、頸椎の問題は脳に影響を与え、脳梗塞の到着の引き金。

脳梗塞は可逆的だ!
脳梗塞患者の治療は一般的に2つの時期に分けられる:
第1ピリオドは応急処置
患者の血管は塞栓によって完全に閉塞し、この血管を通して血液を供給する必要がある脳領域の組織は、血液の継続的な灌流がないために壊死してしまう。この壊死のプロセスは非常に速く、通常は5分以上で起こるため、これらの死にかけた細胞を直ちに救い出さなければならない、
これには血栓溶解療法と血栓除去療法がある。 第一選択は薬理学的血栓溶解療法で、発症から4時間半以内に血栓溶解療法の適応を満たせば蘇生が可能である。しかし、入院が遅すぎた場合は、まだ救命できるものがあるかどうかを評価する必要があり、もしあれば機械的血栓除去療法に頼る必要がある。

第2期は回復期
患者の脳領域組織は、異なる救助時間、異なる程度の壊死に起因し、人間の脳は、言語、人格、手足、呼吸、視覚など、全身のあらゆる種類の機能を担当している、一度壊死すると、正常な生活に影響を与える機能障害となり、これはしばしば脳梗塞の後遺症と呼ばれる。
このような患者の場合、短期的には大きな危険はなく、失われた機能を回復させることが第一の目標であるが、壊死した細胞は再生できないため、臨床的な回復は非常に難しい。この時期に休眠している神経細胞を活性化させ、本来の壊死した細胞組織を表現させ、リハビリ訓練と合わせて、以前の状態を回復させる必要がある。
絶対的なものはありませんし、どんな病気にも例外はありますし、末期的な病気から生還したり、一般的な病気で亡くなったという話もよく聞きますので、保証はできませんが、私の経験では、「脳梗塞は、適切な治療を適時に行っていれば、急性期、回復期にかかわらず、回復する可能性は比較的高い」と思います。

私の答えがお役に立てれば幸いです!
わからないことがあれば、コメントやプライベートメッセージをください!
私は、脳梗塞片麻痺の患者ですが、2018年7月に、当時は、わずかでよかったのですが、動くことができるようになり、その後、2回入院し、片麻痺が強いのはいいのですが、右半分がほとんど動けなくなり、2年間漢方薬で調整した結果、今は自転車に乗ることができ、動作はとても自由です!
父は脳梗塞で入院し、5日目を過ぎても助かりませんでした。その前からひどい高血圧で、心筋梗塞にもなり、2度の手術を受けました。今年の初めに再び入院し、新しい薬をもらい、睡眠用人工呼吸器と酸素吸入器を購入した。その結果、彼はまだ彼を保つことができなかった。死亡通知には15の病名が記載されている。
医師は脳梗塞は不可逆的だと言った。リハビリはできる。少し回復する
脳梗塞の原因は、主に血液の粘度の上昇、または脳血管の硬化や狭窄の症状によるものと考えられており、通常、脳組織に虚血性障害を引き起こし、それに対応する機能障害の後遺症を生じさせる。初期の段階では、脳循環を促進する薬剤や脳細胞に栄養を与える薬剤で治療することができる。しかし、状況がより危機的であれば、治療のために手術を考慮することも否定できない。
脳梗塞は治療が適時に行われれば完治しますが、脳梗塞の患者さんにとって、急性期に血管を開くことができる唯一の治療法は血栓溶解療法と動脈血栓溶解療法です。突然、言葉がはっきりしゃべれなくなったり、人の言うことが理解できなくなったり、口が曲がってしまったり、片側の手足がしびれたり、力が入らなくなったりしたら、すぐに病院へ、つまり1時間以内に病院へ行き、治療窓口で検査を受け、虚血性脳血管障害であることがわかり、血栓溶解療法を開始します。禁忌がなければ、血栓溶解療法は血管を開くことができる唯一の治療法である。タイムウインドウを超えるか、血栓溶解療法に禁忌があれば、動脈血栓溶解療法の可能性があり、急性期に血管を開くことができる唯一の治療法はこの2つである。急性期に血管が完全に開通すれば、患者は将来回復する可能性がある。

しばらくの間、早寝早起きで運動をした方がいい。
55歳以降、小脳萎縮は脳梗塞の素因となる。
この質問と回答はサイト利用者のものであり、サイトの立場を代表するものではありません、侵害など、削除するには管理者に連絡してください。